Bänderriss am Sprunggelenk – exzellente Ergebnisse mit der richtigen Behandlung
Kurzzusammenfassung:
Ein Bänderriss am Sprunggelenk – auch Außenbandriss, Außenbandruptur oder Umknickverletzung genannt – entsteht meist nach einem Umknicktrauma, bei dem der Fuß nach innen wegknickt. Dabei ist typischerweise das vordere Außenband (LFTA) betroffen. Entscheidend ist nicht nur die Diagnose selbst, sondern der sichere Ausschluss von Begleitverletzungen wie Syndesmosenverletzung, osteochondraler Läsion des Talus oder Sprunggelenk-Fraktur. Mit strukturierter Diagnostik und konsequenter funktionell-konservativer Behandlung heilt ein großer Teil der Verletzungen gut aus. Bei anhaltenden Beschwerden, wiederholtem Wegknicken oder Instabilitätsgefühl sollte gezielt weiter abgeklärt werden.
In unserer spezialisierten Privatpraxis in Berlin-Zehlendorf untersuchen wir Bandverletzungen am Sprunggelenk differenziert. Dazu gehören die klinische Untersuchung, der Ultraschall sowie bei Bedarf DVT und MRT als komplementäre Bildgebung. So lässt sich früh erkennen, ob eine funktionell-konservative Behandlung ausreicht oder ob weiterführende Maßnahmen notwendig sind.
Ihr Weg zu schmerzfreier Mobilität
Vereinbaren Sie einen Termin in unserer Privatpraxis!
Tel. 030 – 34 39 59 47
anmeldung@ortho-pede.de

Inhaltsverzeichnis
- Typische Beschwerden nach einer Umknickverletzung
- Was genau passiert bei einem Bänderriss am Sprunggelenk?
- Wichtige Begleitverletzungen und Differenzialdiagnosen
- Welche Diagnostik sinnvoll ist
- Wie schlimm ist der Bänderriss bei mir
- Vorher noch nie mit dem Sprunggelenk umgeknickt – was ist beim ersten Umknickereignis besonders?
- Umgeknicktes Sprunggelenk selbst behandeln – sinnvoll oder gefährlich?
- Therapie bei Bänderriss am Sprunggelenk ohne Operation
- Operation nach Bänderriss am Sprunggelenk
- Weiterführende Informationen
- Häufige Fragen zum Bänderriss am Sprunggelenk
- Fazit
Typische Beschwerden nach einer Umknickverletzung
Typisch sind starke Schmerzen direkt nach dem Umknicken, eine zunehmende Schwellung, Druckschmerz an der Außenseite des Sprunggelenks und oft auch ein Bluterguss. Viele Betroffene können den Fuß nur eingeschränkt belasten und berichten über Unsicherheit beim Auftreten.
In den ersten Tagen ähneln sich die Beschwerden häufig, unabhängig davon, ob nur eine Bänderdehnung, ein isolierter Bänderriss oder eine komplexere Verletzung vorliegt. Gerade deshalb sollte nicht allein nach dem Schmerzempfinden beurteilt werden, wie schwer die Verletzung tatsächlich ist.
Was genau passiert bei einem Bänderriss am Sprunggelenk?
Abhängig vom Unfall gibt es sehr viele verschiedene Möglichkeiten sich das obere Sprunggelenk zu verletzen. Die mit Abstand häufigste Variante ist eine Verletzung des kräftigen vorderen Bandes zwischen Sprungbein und Wadenbein – Ligamentum fibulo-talare anterius – kurz LFTA. Das LFTA bildet zusammen mit dem Ligamentum fibulo-calcaneare (LFC) und dem Ligamentum fibulo-talare posterius (LFTP) die stabilisierenden Außenbänder des Sprunggelenks.
Das vordere dieser drei Bänder (LFTA) wird zusammen mit der Gelenkkapsel des oberen Sprunggelenks verletzt, wenn der gesamte Fuß über die Außenseite (die Seite der kleinsten Zehe) wegknickt. Diesen sehr häufigen Unfall nennt man Supinationstrauma – der Fußinnenrand dreht sich nach oben und der Fußaußrand knickt nach unten weg. Auch Adduktion und / oder Innenrotation des Fußes gegen den Unteschenkel können Teil der Umknickbewegung sein. Das Supinationstrauma des Fußes ist in Deutschland die häufigste Sportverletzung überhaupt – etwa jede fünfte Verletzung beim Sport in Deutschland ist eine Supinationsverletzung des oberen Sprunggelenks.
Je schwerwiegender der Unfall, desto mehr wichtige Strukuren des oberen Sprunggelenks werden verletzt. Typischerweise wird bei einer Umknickverletzung des Sprunggelenks zuerst das LFTA verletzt (im Bild rot markiert). Bei noch mehr Krafteinwirkung reißt als nächstes das Band zwischen Wandbeinspitze und Fersenbein (LFC) bis schließlich bei sehr ausgerpägten Verletzungen die Knochen brechen und eine Sprunggelenkfraktur entsteht. Das Ligamentum fibulo-talare posterius (LFTP) reißt dagegen ausgesprochen selten und meist nur im Rahmen sehr schwerer Unfälle mit ausgeprägten weiteren Verletzungen.

Anmerkung für Kollegen und Experten verwandter Fachgruppen: das Ligamentum tibo-fibulare anterius (vorderes Syndesmosenband) ist in deser Schemazeichnung nicht korrekt dargestellt. Da dies für das hier vorgestellte Thema keine Relevanz hat, nutzen wir an dieser Stelle bewußt diese anonsten sehr passende grafische Darstellung.
Wichtige Begleitverletzungen und Differenzialdiagnosen
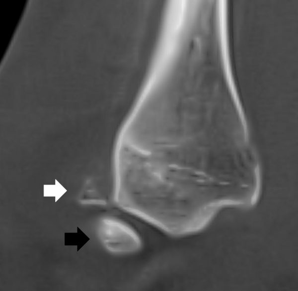
Nicht jede Verletzung nach dem Umknicken ist ein isolierter Bänderriss. Wichtige Begleitverletzungen sind vor allem eine Verletzung der Syndesmose, eine osteochondrale Läsion des Talus sowie knöcherne Verletzungen wie eine Sprunggelenk-Fraktur oder ein Bruch an der Basis des fünften Mittelfußknochens.
Gerade wenn die Beschwerden stärker als erwartet ausfallen, die Belastung kaum möglich ist oder die Besserung ausbleibt, sollte gezielt nach solchen Begleitverletzungen gesucht werden. Sie beeinflussen die Prognose und die Behandlungsstrategie entscheidend.
Welche Diagnostik sinnvoll ist
Klinische Untersuchung
Am Anfang steht die genaue Untersuchung des gesamten Verletzungsmusters. Entscheidend sind Unfallmechanismus, Schwellung, Druckschmerz, Stabilität, Beweglichkeit und typische Provokationszeichen. Schon hier lässt sich häufig abschätzen, ob eher eine einfache Außenbandverletzung oder eine komplexere Problematik vorliegt.
Ultraschall
Der Ultraschall ist besonders hilfreich, um Bandstrukturen, Ergüsse und oberflächennah gelegene Weichteile dynamisch zu beurteilen. Er liefert oft schon früh wertvolle Hinweise auf das Ausmaß der Verletzung und unterstützt die erste Therapieplanung.
DVT & MRT als komplementäre Bildgebung
Wenn Begleitverletzungen vermutet werden oder der Befund klinisch nicht eindeutig ist, ergänzen sich DVT und MRT sinnvoll. Die DVT zeigt knöcherne Strukturen und gelenknahe Verletzungen besonders präzise. Das MRT ist wichtig für Bänder, Sehnen, Knorpel, Knochenmarkreaktionen und Weichteile. Beide Verfahren sind nicht alternativ, sondern komplementär.

Wie schlimm ist der Bänderriss bei mir
Das Ausmaß der Verletzung kann sehr unterschiedlich sein. Im günstigsten Fall liegt nur eine Dehnung der Bandstrukturen vor. Bei einem echten Bänderriss ist mindestens ein stabilisierendes Außenband verletzt. Je stärker die Krafteinwirkung, desto wahrscheinlicher sind zusätzliche Schäden an weiteren Bändern, am Knorpel oder am Knochen.
Wichtig ist außerdem der Verlauf. Bleiben Beschwerden bestehen, knickt das Gelenk wiederholt weg oder entwickelt sich ein anhaltendes Instabilitätsgefühl, sollte an eine chronische Instabilität des oberen Sprunggelenks gedacht werden. Genau diese Folgeproblematik ist nach Bandverletzungen klinisch besonders relevant.
Vorher noch nie mit dem Sprunggelenk umgeknickt – was ist beim ersten Umknickereignis besonders?
Die größten Probleme nach Bandverletzungen am oberen Sprunggelenk sind dauerhafte Beschwerden, Instabilitätsgefühl und drohender Gelenkverschleiß (sekundäre Arthrose). Patienten die mehrfach und regelmäßig umknicken sind in mehr als der Hälfte der Fälle betroffen (Gribble PA. et al., Sport Med 2016).
Aber: ist das Risiko beim ersten Mal umknicken genauso hoch?
Auch nach dem ersten Umknickereignis erleben viele Patienten persistente Beschwerden wie Instabilität des Sprunggelenks, Schmerzen im Alltag oder erneutes Umknicken. Nach dem ersten Umknickereignis (Supinationstrauma) ist die Chance auf eine Besserung der Beschwerden in den ersten 12 Monaten jedoch deutlich höher als bei Patienten die schon öfter und mehrfach umgeknickt sind. Bereits 3-6 Monate nach einem wiederholten Umknickereignis kommt bei ausbleibender Besserung eine Operation in Frage. Nach dem ersten Umknickereignis sollte man mit der Entscheidung für eine Operation bis zu 12 Monate warten, da in dieser Zeit noch mit einer erheblichen Besserung der Beschwerden gerechnet werden kann(Michels F. et al., FAS 2022).

Umgeknicktes Sprunggelenk selbst behandeln – sinnvoll oder gefährlich?
Eine Verletzung der Außenbänder am oberen Sprunggelenk ist keine Katastrophe – die Prognose ist bei konsequenter Therapie sehr gut. Wichtig ist jedoch die Feststellung, dass es sich tatsächlich „nur“ um einen Bänderriss handelt. Oft sehen wir im Zentrum für Fuß und Sprunggelenk von Dr. Böhr bei genauer Untersuchung zusätzliche Verletzungen. Die meisten dieser zum Teil schwerwiegenden Unfallfolgen kann ein medizinischer Laie nicht von einem Bänderriss am Sprunggelenk unterscheiden, denn es zeigen sich sehr ähnliche Beschwerden (z.B. beim Knochenbruch an der Basis des fünften Mittelfußknochens).
Außerdem ist ein erweitertes Verständnis der Biomechanik von Verletzungen am oberen Sprunggelenk notwendig, um die gesamte Tragweite einer Verletzung abschätzen zu können. Syndesmosenverletzungen am oberen Sprunggelenk und hohe Fibulafrakturen (Maisonneuve Frakturen) oder Verletzungen der Chopart- oder Lisfranc-Gelenkreihe werden gelegentlich auch von weniger erfahrenen ärztlichen Kollegen übersehen und führen langfristig zu erheblichen Problemen wie Arthrose oder Instabilität.
Die Notfallversorgung direkt nach einer schweren Umknickverletzung erfolgt oft vor Ort in einer Notaufnahme oder durch den Bereitschaftsdienst. Hierbei werden nach einer ärztlichen Untersuchung in der Regel herkömmliche Röntgenbilder angefertigt, um grobe Knochenbrüche auszuschließen. Danach ist aus unserer Sicht die ärztliche Vorstellung bei einem Spezialisten für Fuß und Sprunggelenk zur Komplettierung der Diagnostik und zielgerichteten Weiterbehandlung dringend erforderlich.
Patienten die häufiger kräftig umknicken und danach keine oder nur geringe Beschwerden entwickeln sind entweder hypermobil (sehr lockere Bänder) oder zeigen deutliche Zeichen einer chronischen Instabilität des oberen Sprunggelenks. Beides kann zu schwerwiegenden Folgen für die Mobilität des Patienten führen wie Arthrose im oberen Sprungelenk oder Osteochondrale Läsion des Talus.
Aus der professionellen Sicht eines Spezialisten für Fuß und Sprunggelenk sollten schwere Umknickverletzungen des Sprunggelenks unbdingt von einem erfahrenen Experten untersucht werden. Vereinbaren Sie einen Termin in unserer Privatpraxis
Therapie bei Bänderriss am Sprunggelenk ohne Operation
Noch vor wenigen Jahrzehnten wurden alle Bänderrisse am oberen Sprunggelenk konsequent operiert. Heute weiß man, dass ein Großteil dieser Verletzungen mit konsequenter funktionell-konservativer Therapie beschwerdefrei werden kann (z.B. Orthese, entzündungshemmende Medikamente, Physiotherapie, Kinesiotape, Muskelkräftigung elektronischer Muskelstimulation, Aktiveinlagen).
Dazu sind jedoch zwei Dinge zwingend erforderlich: die exakte Diagnose der Verletzung und der sichere Ausschluss von problematischen Begleitverletzungen. Dazu gehören vor allem die Osteochondrale Läsion des Talus (OCL) sowie schwere Verletzungen des Innenbandes und der Syndesmosenbänder am oberen Sprunggelenk.
Der Heilungsverlauf nach einer Bandverletzung am oberen Sprunggelenk kann zur Therapieplanung in drei Phasen aufgegliedert werden:
- Entzündungsphase (1. & 2. Woche nach dem Unfall)
- Proliferationsphase (3. bis 6. Woche nach dem Unfall)
- Remoddelierungsphase (ab der 7. Woche nach dem Unfall)
Entzündungsphase (1. & 2. Woche nach dem Unfall)
În den ersten zwei Wochen nach dem Unfallereignis stehen die kurzfristige Schmerzreduktion für unsere Patienten und eine möglichst genaue Analyse der Verletzungsfolgen im Vordergrund (MRT und DVT). Unmittelbar nach dem Unfall sollte das Sprunggelenk für etwa 1-2 Tage vollständig ruhiggestellt und entlastet werden. Neben der allgemein gültigen PECH-Regel (Pause, Eis, Compression, Hochlegen) kommen als Hausmittel Wickel mit Quark oder Retterspitz in Frage. Ärztlich verordnet werden dann entzündungshemmende Medikamente und eine Supinationsschutzorthese (konsequent tragen!). Injektionen mit PRP nach frischer Bandverletzung des oberen Sprunggelenks führen zu einer messbaren Schmerzreduktion in den ersten 8 Wochen nach dem Unfall!
Sobald nach MRT und DVT die genaue Diagnose gestellt ist, kann die Rehabilitation starten. Schmerzadaptierte Vollbelastung an Unterarmgehstützen bei angelegter Orthese sind der nächste Schritt. Beschwerdeadaptierte physiotherapeutsche Maßnahmen wie Mobiliisation der angrenzenden Gelenke, Lymphdrainage, Lymphtape, und Elektrotherapie können ebenso beginnen wie gezielte Trainingsmaßnahmen mit isometrischen Spannungsübungen, schmerzadaptiertes Propriozeptionstraing des verletzten Beins und Kräftigung des gesamten Körpers.
Schmerzreduktion und abschwellende Maßnahmen bestimmen für den Patienten die ersten zwei Wochen nach dem Bänderriss. Zu viel Ehrgeiz behindert in dieser Phase sogar den Heilungsverlauf und sollte unterbleiben.
Proliferationsphase (3. bis 6. Woche nach dem Unfall)
Ab der dritten Woche nach dem Unfall beginnt die Bandverletzung zu heilen und bildet neue Kollagenfasern (Proliferation). Die neu gebildeten Kollagefasern sollen im Idealfall so ausgerichtet sein, dass Sie einer späteren Belastung optimal standhalten. Damit dieser Prozess zu einem funktionell exzellenten Ergebnis führt, sind gezielte Reize von außen erforderlich.
Patienten beginnen mit Übungen auf dem Fahrradergometer, starten mit physiotherapeutisch angeleitetem leg-press Training und Koordinationstraining. Das propriozeptive Training kann intensiviert und ausgebaut werden. Die Orthese wird weiterhin konsequent getragen und darf lediglich zur Körperhygiene kurz abgelegt werden. Dabei sollte die Neutralposition im oberen Sprunggelenk unbedingt eingehalten werden.
Ab der fünften Woche nach dem Unfall kann bei Verfügbarkeit im Bewegungsbad und in der AlterG Anti-Gravity Treadmill mit der Beübung begonnen werden.
Remodelierungsphase (ab der 7. Woche nach dem Unfall)
Nach 6 Wochen ist neue Verbindung im Bereich der Bandverletzung entstanden. Diese neue Kollagenverbindung ist noch nicht sehr stabil – jedoch stabil genug um die Orthese nur noch zu tragen, wenn eine Gefahr für erneutes Umknickens besteht (z.B. bei sportlicher Belastung oder auf unebenem Untergrund). Dies sollte mindestens für die ersten 3 Monate nach dem Unfall umgesetzt werden.
Im Zentrum für Fuß und Sprunggelenk machen wir etwa sieben Wochen nach dem umknicken ein MRT des oberen Sprunggelenks, um höhergradige osteochondrale Läsionen des Talus sicher auszuschließen.
Die Patienten sollen nun Ihre individuelle Trainingsbelastung abhängig vom Schmerzniveau langsam aber konsequent zu steigern. Auftretende Schwellungszustände können mit Kompressionsstrümpfen gut therapiert werden. Ab der 9. Woche kann bei angelegter Orthese das Training von Start-Stop Bewegungen und „figure 8-running“ beginnen.
Ihr Weg zu schmerzfreier Mobilität
Vereinbaren Sie einen Termin in unserer Privatpraxis!
Tel. 030 – 34 39 59 47
anmeldung@ortho-pede.de
Operation nach Bänderriss am Sprunggelenk
Nach einem Bänderriss am oberen Sprunggelenk muss nur ein kleiner Anteil der Patienten im Verlauf des Heilungsprozesses operiert werden. Dabei gibt es drei große Gruppen:
- Bleibt nach 3-6 Monaten trotz intensivem Training ein Instabilitätsgefühl zurück oder kommt es immer wieder zum erneuten Umknicken, wird eine Operation zur Stabilisierung des oberen Sprunggelenkes in Erwägung gezogen. Denn hier ist eine chronische Instabilität des oberen Sprunggelenks entstanden.
- Falls 3-6 Monaten nach dem Unfall immer wieder chronische Entzündungen oder sogar Einklemmungserscheinungen auftreten, kann ein Impingement des oberen Sprunggelenks vorliegen. Dabei führen entweder Bandreste, eingeschlagene Gelenkkapsel oder die neu gebildete Narbe zu mechanischen Problemen und Reizungen im Gelenk. Hier kann eine Arthroskopie des oberen Sprunggelenks helfen, das Problem zu lösen. Der mögliche Erfolg einer Sprunggelenksarthroskopie wird vorher mit einer Testinfiltration untersucht.
- Zu Beginn nicht bemerkte Begleitverletzungen führen oft erst nach mehreren Wochen zu anhaltenden Beschwerden. Neben Verletzungen des Innenbandes und der Syndesmosenbänder sehen wir in unserer Praxis vor allem Durchblutungsstörungen des Sprungbeins – sogenannte Osteochondrale Läsionen des Talus (OCL), auch Osteochondrosis dissecans (OD) genannt. Dies sind schwerwiegende Verletzungsfolgen, die eine längerfristige Therapie und oft auch eine Operation erfordern. Daher ist es bei einem Umknickereignis besonders wichtig, gezielt nach solchen Begleitverletzungen des oberen Sprunggelenks zu suchen (MRT und DVT).
Alle operativen Eingriffe am Sprunggelenk führt Dr. Böhr persönlich durch. Zu den Sprunggelenk-Operationen im Überblick →

Weiterführende Informationen
Verletzungen & Folgen
- Sprunggelenk-Verletzungen, Instabilität & Syndesmose
- Syndesmosenverletzung am oberen Sprunggelenk
- Chronische Instabilität des oberen Sprunggelenks
- Osteochondrale Läsion des Talus
- Sprunggelenk-Fraktur
Diagnostik
- Ultraschall an Fuß & Sprunggelenk
- Digitale Volumentomografie (DVT)
- MRT im Zentrum für Fuß & Sprunggelenk
Behandlung
Häufige Fragen zum Bänderriss am Sprunggelenk
Ist ein Bänderriss am Sprunggelenk immer eine schwere Verletzung?
Nicht unbedingt. Viele Bänderrisse lassen sich ohne Operation erfolgreich behandeln. Entscheidend ist jedoch, wie ausgeprägt die Verletzung ist und ob zusätzliche Schäden an Syndesmose, Knorpel oder Knochen vorliegen.
Wie erkenne ich, ob es nur ein Bänderriss oder etwas Schlimmeres ist?
Allein an den Beschwerden lässt sich das oft nicht sicher unterscheiden. Schwellung, Schmerzen und Belastungsprobleme kommen auch bei Syndesmosenverletzung, Fraktur oder osteochondraler Läsion des Talus vor. Deshalb ist eine gezielte Diagnostik wichtig.
Welche Untersuchung ist bei Bänderriss am Sprunggelenk sinnvoll?
Die Basis ist die klinische Untersuchung. Ergänzend hilft der Ultraschall bei der Beurteilung der Weichteile. DVT und MRT ergänzen sich je nach Fragestellung sinnvoll, um knöcherne und weichteilige Begleitverletzungen sicherer einzuordnen.
Kann ein Bänderriss ohne Operation heilen?
Ja. Ein großer Teil der Außenbandverletzungen heilt bei konsequenter funktionell-konservativer Behandlung gut aus. Entscheidend sind eine passende Orthesenversorgung, ein kontrollierter Belastungsaufbau und die konsequente Rehabilitation.
Wann droht eine chronische Instabilität?
Wenn die verletzten Strukturen nicht ausreichend ausheilen oder wiederholt neue Umknickereignisse auftreten, kann eine chronische Instabilität des oberen Sprunggelenks entstehen. Warnzeichen sind Unsicherheit, wiederholtes Wegknicken und anhaltende Beschwerden.
Fazit
Ein Bänderriss am Sprunggelenk ist häufig, sollte aber nicht vorschnell als harmlose Standardverletzung eingestuft werden. Wichtig sind die genaue Einordnung des Verletzungsmusters und der Ausschluss von Begleitverletzungen wie Syndesmosenverletzung, OCL oder Fraktur. Mit strukturierter Diagnostik und konsequenter konservativer Behandlung heilt ein großer Teil der Verletzungen gut aus. Bei anhaltenden Beschwerden oder wiederholtem Wegknicken sollte jedoch gezielt weiter abgeklärt werden.
Ihr Weg zu schmerzfreier Mobilität
Vereinbaren Sie einen Termin in unserer Privatpraxis!
Tel. 030 – 34 39 59 47
anmeldung@ortho-pede.de
Inhalt medizinisch kontrolliert von:
Dr. med. Stefan Böhr, Facharzt für Orthopädie & Unfallchirurgie, Fußchirurg (DAF & GFFC)
Ärztlicher Leiter & Inhaber, Zentrum für Fuß & Sprunggelenk Berlin-Zehlendorf
Zuletzt aktualisiert: März 2026