Akin-Osteotomie
Kurzzusammenfassung: Die Akin Osteotomie korrigiert die seitliche Verkrümmung des Großzehengrundglieds beim Hallux valgus interphalangeus. Sie wird in den meisten Fällen als präziser Zusatzeingriff zur Chevron Osteotomie oder Lapidus-Arthrodese durchgeführt. Dr. Böhr operiert persönlich – stationär in der Klinik Sanssouci Potsdam, mit Titan-Klammer als Implantat und individueller Nachbehandlung.
Inhaltsverzeichnis
- Was ist die Akin Osteotomie – und wann ist sie notwendig?
- Wie wird die Akin Osteotomie durchgeführt?
- Was sagt die Wissenschaft zur Akin Osteotomie?
- Nachbehandlung nach der Akin Osteotomie
- Häufig gestellte Fragen zur Akin Osteotomie
- Was ist die Akin Osteotomie und wann wird sie eingesetzt?
- Kann die Akin Osteotomie auch allein durchgeführt werden?
- Welches Implantat wird bei der Akin Osteotomie verwendet?
- Wie lange dauert die Nachbehandlung nach einer Akin Osteotomie?
- Warum bevorzugen Sie die mini-open Technik gegenüber der minimalinvasiven Variante?
- Muss das Implantat nach der Akin Osteotomie wieder entfernt werden?
- Weitere Informationen zu Hallux Valgus & Fußoperationen
Die Akin Osteotomie ist ein kleiner, aber wichtiger Korrektureingriff am Grundglied der Großzehe. Sie trägt zur Feinabstimmung des Gesamtergebnisses bei der Hallux-Valgus-Korrektur bei – und sorgt dafür, dass die Großzehe nicht nur im Grundgelenk, sondern auch im Grundglied selbst gerade steht. In den meisten Fällen ist sie Bestandteil eines kombinierten Eingriffs. Nur in seltenen Ausnahmen wird die Akin Osteotomie als alleiniger Eingriff durchgeführt.
Was ist die Akin Osteotomie – und wann ist sie notwendig?
Die Akin Osteotomie wurde 1925 erstmals vom amerikanischen Chirurgen Orville F. Akin beschrieben. Sie bezeichnet eine keilförmige Korrekturosteotomie am Grundglied der Großzehe – der sogenannten Phalanx proximalis. Durch Entnahme eines kleinen Knochenkeils auf der Innenseite des Knochens wird die Großzehe begradigt.
Indiziert ist die Akin Osteotomie bei einem Hallux valgus interphalangeus – das bedeutet, dass nicht nur das Großzehengrundgelenk, sondern auch das Grundglied der Großzehe selbst seitlich abgekippt ist. Dieser Befund lässt sich auf dem Röntgenbild im Stehen präzise messen. Wird er bei der Hallux-Valgus-Korrektur nicht mitbehandelt, kann das Gesamtergebnis trotz guter Korrektur des Grundgelenks suboptimal wirken – die Zehe zeigt dann weiterhin nach außen.
In unserem Zentrum prüfen wir vor jeder Hallux-Valgus-Operation anhand von DVT oder Röntgen im Stehen, ob ein Hallux valgus interphalangeus vorliegt – und planen die Akin Osteotomie wenn nötig von Anfang an mit ein.

Wie wird die Akin Osteotomie durchgeführt?
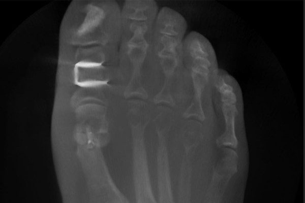
Über einen kleinen Hautschnitt auf der Innenseite des Grundglieds der Großzehe wird ein keilförmiges Knochenstück entnommen. Der Knochen wird dann in die korrigierte Stellung gebracht und mit einer Titan-Klammer (Staple) stabil fixiert. Die Klammer verbleibt dauerhaft im Körper – eine Entfernung ist in der Regel nicht notwendig.
Wir bevorzugen in den meisten Fällen die mini-open Technik. Sie ermöglicht eine direkte Sicht auf den Knochen und damit eine präzise Dosierung der Korrektur – das heißt, wir können genau bestimmen, wie viel Knochengewebe entnommen wird. Das ist entscheidend für das Ergebnis. Eine retrospektive Vergleichsstudie mit 210 Füßen zeigte, dass bei der minimalinvasiven Variante in über 50 Prozent der Fälle die laterale Gegenkortikalis versehentlich perforiert wurde – bei der offenen Technik waren es nur 14 Prozent. Zudem war die knöcherne Konsolidierung bei der offenen Methode nach 6 Wochen abgeschlossen, bei der minimalinvasiven erst nach 12 Wochen (Schilde S. et al., Foot Ankle Int, 2021).
In ausgewählten Fällen bieten wir auch die minimalinvasive Variante an – dann mit Schraubenfixierung oder bei bestimmten Patienten auch ganz ohne Implantat. Welche Technik für Sie sinnvoll ist, besprechen wir im Aufklärungsgespräch.

Was sagt die Wissenschaft zur Akin Osteotomie?
Die Datenlage zur Akin Osteotomie ist klar: Es handelt sich um einen zuverlässigen Eingriff mit sehr hohen Fusionsraten. Ein aktueller systematischer Review über 7 Studien mit insgesamt 590 Füßen zeigte eine Fusionsrate von 99,8 Prozent – unabhängig von der gewählten Fixierungsmethode. Dabei wies die Schraubenfixierung eine höhere Rate an Implantatprominenz auf (10,5 Prozent) als Staple oder Nahtfixierung – ein Argument für unsere bevorzugte Titan-Klammer (Eldessouky AH. et al., Cureus, 2024).
Für die Staple-Fixierung speziell zeigt eine Studie aus dem Duke University Medical Center an 44 Patienten und 51 Füßen: Der Schmerzwert verbesserte sich von durchschnittlich 4,4 auf 1,0 auf der visuellen Analogskala. 59,4 Prozent der Patienten gingen postoperativ unbegrenzte Strecken – bei geringer Komplikationsrate (Neumann JA. et al., Foot Ankle Int, 2015).
Nachbehandlung nach der Akin Osteotomie
Auch beim Akin braucht der Knochen etwa sechs Wochen zum Verheilen. Da die mechanische Belastung im Grundglied der Großzehe deutlich geringer ist als im Mittelfußknochen, ist die Nachbehandlung beim isolierten Eingriff weniger restriktiv als bei größeren Hallux-Valgus-Korrekturen.
In der Praxis ist die Akin Osteotomie jedoch fast immer Teil eines kombinierten Eingriffs – zusammen mit einer Chevron Osteotomie oder einer Lapidus-Arthrodese. In diesen Fällen bestimmt der größere Eingriff den Nachbehandlungsplan – also zum Beispiel Shortwalker für 6 Wochen bei der Chevron-Kombination oder Shortwalker für 6–8 Wochen bei der Lapidus-Kombination.
Häufig gestellte Fragen zur Akin Osteotomie
Was ist die Akin Osteotomie und wann wird sie eingesetzt?
Die Akin Osteotomie ist ein kleiner Korrektureingriff am Grundglied der Großzehe. Sie wird eingesetzt, wenn zusätzlich zur eigentlichen Hallux-Valgus-Fehlstellung eine seitliche Verkrümmung des Großzehengrundglieds selbst vorliegt – der sogenannte Hallux valgus interphalangeus. In den meisten Fällen wird sie mit einem anderen Eingriff kombiniert, zum Beispiel der Chevron Osteotomie oder der Lapidus-Arthrodese.
Kann die Akin Osteotomie auch allein durchgeführt werden?
Ja – in seltenen Fällen ist die Akin Osteotomie als isolierter Eingriff sinnvoll, wenn ausschließlich eine Verkrümmung des Grundglieds der Großzehe ohne relevante Fehlstellung im Grundgelenk vorliegt. Das ist jedoch die Ausnahme. In der Regel ist sie Bestandteil eines kombinierten Eingriffs.
Welches Implantat wird bei der Akin Osteotomie verwendet?
In der Regel verwenden wir eine Titan-Klammer (Staple), die den korrigierten Knochen stabil fixiert. Bei der minimalinvasiven Variante kommt stattdessen eine Schraube zum Einsatz. Welches Implantat sinnvoll ist, hängt von der gewählten Operationstechnik ab.
Wie lange dauert die Nachbehandlung nach einer Akin Osteotomie?
Auch beim Akin braucht der Knochen etwa sechs Wochen zum Verheilen. Da die Belastung im Grundglied der Großzehe biomechanisch geringer ist als im Mittelfuß, ist die Nachbehandlung beim isolierten Eingriff weniger restriktiv als bei größeren Hallux-Valgus-Korrekturen. Wird die Akin in Kombination mit einem anderen Eingriff durchgeführt, bestimmt in der Regel der größere Eingriff den Nachbehandlungsplan.
Warum bevorzugen Sie die mini-open Technik gegenüber der minimalinvasiven Variante?
Bei der minimalinvasiven Akin Osteotomie lässt sich zwar elegant korrigieren – allerdings ist die genaue Dosierung der Korrektur schwieriger zu kontrollieren. Da das Ausmaß der Korrektur für das Endergebnis entscheidend ist, bevorzugen wir in den meisten Fällen die mini-open Technik. Sie ermöglicht eine präzisere Kontrolle unter direkter Sicht und damit ein vorhersehbareres Ergebnis.
Muss das Implantat nach der Akin Osteotomie wieder entfernt werden?
Die verwendeten Titan-Klammern verbleiben in der Regel dauerhaft im Körper und müssen nicht entfernt werden. Nur in seltenen Fällen – etwa bei Implantat-Beschwerden – kann eine Entfernung sinnvoll sein.
Weitere Informationen zu Hallux Valgus & Fußoperationen
Krankheitsbild & Diagnose
Hallux Valgus – Behandlung & OP in Berlin
Hallux Valgus interphalangeus – Ursachen & Therapie
Digitale Volumentomografie – präzise OP-Planung
Verwandte OP-Verfahren
Chevron Osteotomie – häufigste Kombination mit Akin
Termin & Beratung
Termin vereinbaren in Berlin-Zehlendorf
Quellen:
- Neumann JA. et al., Foot Ankle Int, 2015 (PMID: 25413308)
- Eldessouky AH. et al., Cureus, 2024 (PMID: 38681272)
- Schilde S. et al., Foot Ankle Int, 2021 (PMID: 33167697)
Inhalt medizinisch kontrolliert von:
Dr. med. Stefan Böhr, Facharzt für Orthopädie & Unfallchirurgie, Fußchirurg (DAF & GFFC)
Ärztlicher Leiter & Inhaber, ORTHO | PEDE – Zentrum für Fuß & Sprunggelenk Berlin-Zehlendorf
Zuletzt aktualisiert: März 2026