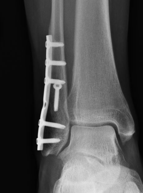
Home Schwerpunkte Krankheitsbilder Sprunggelenk-Fraktur Bruch oberes Sprunggelenk verheilt Weber B konsolidert Rötngen Zugschraube Bruch oberes Sprunggelenk verheilt Weber B konsolidert Rötngen Zugschraube Bruch oberes Sprunggelenk verheilt Weber B konsolidert Rötngen Zugschraube