• Anruf (030) 34 39 59 47
    • Termin buchen
Logo ORTHO|PEDE
  • Dr. Böhr
  • Praxis
    • Team
    • Karriere
    • Erster Termin
    • Ortho Professional Care
    • Partner
  • Schwerpunkte
    • Krankheitsbilder
    • Diagnostik und Therapie
    • Fußoperationen in Berlin
  • Aktuelles
  • Kontakt
  • EN

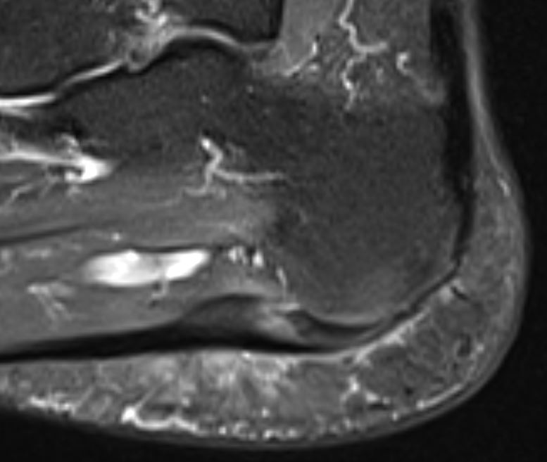
Home Schwerpunkte Krankheitsbilder Plantarfasziitis und Fersensporn – Schmerzen unter der Ferse loswerden! Plantarfasziitis im MRT sagital PD Fersensporn entzündet

Plantarfasziitis im MRT sagital PD Fersensporn entzündet

Plantarfasziitis im MRT sagital PD Fersensporn entzündet

Plantarfasziitis im MRT sagital PD Fersensporn entzündet

zum Seitenanfang
  • Siegel jameda: Von Patienten bewertet mit Note 1,1

Kontakt

  • ORTHO | PEDE
    Zentrum für Fuß und Sprunggelenk

  • Dr. Stefan Böhr & Kollegen
    Goethestraße 26a
    14163 Berlin-Zehlendorf

  • anmeldung@ortho-pede.de
    Tel. 030 - 34 39 59 47

Rubriken

  • Home
  • Dr. Böhr
  • Praxis
  • Schwerpunkte
  • Aktuelles

Hilfe

  • Kontakt
  • English
  • FAQ
  • Impressum
  • Datenschutz

Wichtig

  • Erster Termin
  • DVT / Röntgen
  • Hallux Valgus richtig behandeln
  • Fußoperationen in Berlin
  • Erfahrungsberichte
Ortho | Pede auf Instagram Ortho | Pede auf Facebook