• Anruf (030) 34 39 59 47
    • Termin buchen
Logo ORTHO|PEDE
  • Dr. Böhr
  • Praxis
    • Team
    • Karriere
    • Erster Termin
    • Ortho Professional Care
    • Partner
  • Schwerpunkte
    • Krankheitsbilder
    • Diagnostik und Therapie
    • Fußoperationen in Berlin
  • Aktuelles
  • Kontakt
  • EN

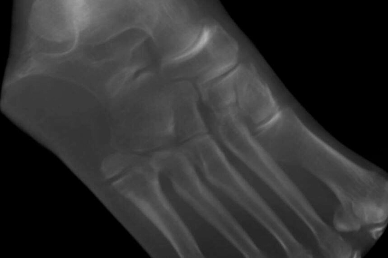
Home Schwerpunkte Krankheitsbilder Knochenbruch Mittelfuß MT 5 Basisfraktur mit Pseudarthrose

MT 5 Basisfraktur mit Pseudarthrose

MT 5 Basisfraktur mit Pseudarthrose

zum Seitenanfang
  • Siegel jameda: Von Patienten bewertet mit Note 1,1

Kontakt

  • ORTHO | PEDE
    Zentrum für Fuß und Sprunggelenk

  • Dr. Stefan Böhr & Kollegen
    Goethestraße 26a
    14163 Berlin-Zehlendorf

  • anmeldung@ortho-pede.de
    Tel. 030 - 34 39 59 47

Rubriken

  • Home
  • Dr. Böhr
  • Praxis
  • Schwerpunkte
  • Aktuelles

Hilfe

  • Kontakt
  • English
  • FAQ
  • Impressum
  • Datenschutz

Wichtig

  • Erster Termin
  • DVT / Röntgen
  • Hallux Valgus richtig behandeln
  • Fußoperationen in Berlin
  • Erfahrungsberichte
Ortho | Pede auf Instagram Ortho | Pede auf Facebook