Sichelfuß (Pes adductus): die häufigste angeborene Fußfehlstellung — und warum sie beim Erwachsenen oft unerkannt bleibt
Kurzzusammenfassung: Der Sichelfuß ist die häufigste angeborene Fußfehlstellung — und beim Erwachsenen eine der am meisten übersehenen. Vorfuß und Rückfuß stehen in einem falschen Winkel zueinander, was zu sehr unterschiedlichen Beschwerden führen kann: von Schmerzen am Fußaußenrand über Knie- und Hüftprobleme bis hin zu Achillessehnenschmerzen, die auf keine Therapie ansprechen. Einlagen helfen oft nur begrenzt, weil sie die eigentliche Ursache — eine durch die Knochenform bedingte Fehlstellung — nicht erreichen. Auf dieser Seite erklären wir, warum der Sichelfuß oft so lange unerkannt bleibt, welche Beschwerden er verursacht, wie er zuverlässig diagnostiziert wird und was wirklich hilft.
Inhaltsverzeichnis
- Was ist ein Sichelfuß?
- Welche Beschwerden kann ein Sichelfuß machen?
- Wie wird ein Sichelfuß diagnostiziert? Der Engel-Winkel
- Warum helfen Einlagen beim Sichelfuß oft nicht?
- Sichelfuß und Hallux valgus — eine unterschätzte Verbindung
- Was hilft beim Sichelfuß wirklich?
- Schmerzen trotz Einlagen? Achillessehnenschmerzen außen?
- Fazit
- FAQ – häufige Fragen zu Sichelfuß & pes adductus
- Was ist ein Sichelfuß — und was hat das mit meinen Beschwerden zu tun?
- Ich habe als Kind einen Sichelfuß gehabt — kann der im Erwachsenenalter noch Probleme machen?
- Mein Kind hat einen Sichelfuß — ist das erblich?
- Warum schmerzt meine Achillessehne trotz intensiver Behandlung immer noch — vor allem außen?
- Ich knicke häufig um — kann das am Sichelfuß liegen?
- Was unterscheidet den Sichelfuß vom Senk- oder Spreizfuß?
- Wie wird ein Sichelfuß beim Erwachsenen festgestellt?
- Ich habe Einlagen — warum helfen sie nicht richtig?
- Kann man einen Sichelfuß operieren?
- Was kann ich selbst tun, wenn ich einen Sichelfuß habe?
- Literatur
Was ist ein Sichelfuß?
Der Sichelfuß — medizinisch Pes adductus oder Metatarsus adductus — ist eine angeborene Fehlstellung des Fußes. Er ist tatsächlich die häufigste angeborene Fußfehlstellung überhaupt [Freedman et al., Pediatr Ann 2024].
Der Name beschreibt, was man in sehr ausgeprägten Fällen auch direkt sieht: Der Fuß hat von unten betrachtet die Form einer Sichel. Der Vorfuß mit den Zehen ist nach innen gedreht — aber Ferse und Rückfuß folgen dieser Drehung nicht im gleichen Maß. Vorfuß und Rückfuß zeigen also beim Gehen in unterschiedliche Richtungen. Beim gesunden Fuß ist das nicht so: Ferse, Mittelfuß und Zehen arbeiten zusammen in Laufrichtung.
Die meisten Betroffenen lernen über die Jahre, ihren Fuß in einer Art dynamischer Mittelstellung zu halten — irgendwo zwischen zwei typischen Kompensationsmustern, aber immer mit einer klaren Tendenz in die eine oder andere Richtung. Genau diese Anpassung macht es oft auch für geübte Untersucher schwer, den Sichelfuß auf den ersten Blick zu erkennen.
Wichtig zu verstehen: Der Sichelfuß ist kein Problem der Muskulatur oder der Bänder, das man beim Erwachsenen durch Training oder Dehnung grundlegend verändern könnte. Die Ursache liegt in der Form der Knochen zueinander — sie ist so entstanden und bleibt so. Häufig ist der Sichelfuß familiär gehäuft: Eltern von betroffenen Kindern haben oft selbst einen — ohne es zu wissen.
Leichte und mittelschwere Ausprägungen sind äußerlich kaum zu erkennen — und das gilt nicht nur für Erwachsene. Auch bei Kindern fällt der Sichelfuß klinisch meist nur bei sehr starken Ausprägungen auf, und nur dann beginnt man die oft aufwändige Therapie. Leichtere Fälle werden häufig einfach „mitgewachsen“ — ohne dass jemand je den Begriff Sichelfuß gehört hat. Zuverlässig nachweisen lassen sich leichte und mittelschwere Formen erst im Röntgenbild im Stehen oder im DVT.
Das erklärt, warum der Sichelfuß beim Erwachsenen so lange unentdeckt bleiben kann — und warum der erste und wichtigste Schritt in der Diagnose schlicht ist: überhaupt daran zu denken.
Welche Beschwerden kann ein Sichelfuß machen?
Das Tückische am Sichelfuß ist, dass er selten direkt schmerzt — zumindest nicht dort, wo man ihn vermuten würde. Die Beschwerden entstehen durch Fehlbelastung und hängen stark davon ab, wie der Körper die Fehlstellung kompensiert.
Jeder Betroffene entwickelt im Laufe des Lebens eine von zwei typischen Kompensationsstrategien — mit sehr unterschiedlichen Folgen.
Der Vorfuß-Typ
Hier richtet der Körper die Ferse korrekt in Laufrichtung aus — der Vorfuß mit den Zehen zeigt dabei aber zu weit nach innen, in Richtung des anderen Fußes. Das Gewicht wird beim Abrollen nicht gleichmäßig auf alle Zehen verteilt, sondern vor allem über die mittleren Zehen und den Außenrand des Fußes abgeleitet.

Typische Beschwerden:
- Häufiges Umknicken nach außen im Sprunggelenk
- Überlastung der Peronealsehnen — der Sehnen, die außen am Sprunggelenk verlaufen
- Schmerzen an der Basis des fünften Mittelfußknochens und am gesamten Fußaußenrand — bis hin zu Ermüdungsfrakturen des fünften Mittelfußknochens, die ohne erkennbaren Unfall entstehen können
- Überlastung der zweiten und dritten Zehe — weil der Großzeh durch die Fehlstellung schlechter belasten kann und die Nachbarzehen kompensatorisch mehr Druck übernehmen
Der Fersen-Typ
Hier passiert das Gegenteil: Der Körper richtet den Vorfuß und die Zehen korrekt aus — dafür dreht die Ferse nach innen weg. Die Konsequenz ist weitreichend: Das gesamte Bein rotiert nach außen, vom Fuß über das Knie bis zur Hüfte.

Typische Beschwerden:
- Schmerzen tief im Gesäß und in der Hüfte — dort, wo niemand zunächst an den Fuß als Ursache denkt
- Kniebeschwerden durch die dauerhafte Außenrotation des Beins
- Arthrose des Großzehengrundgelenks — durch die dauerhaft veränderte Belastung beim Abrollen
- Achillessehnenschmerzen — vor allem auf der Außenseite
Dieser letzte Punkt verdient besondere Aufmerksamkeit: Wenn Achillessehnenschmerzen trotz konsequenter Therapie nicht besser werden und die Beschwerden vor allem oder ausschließlich auf der Außenseite der Achillessehne und des Fersenbeins lokalisiert sind — dann findet sich in unserer Erfahrung in dieser Patientengruppe sehr häufig ein unerkannter Sichelfuß. Dieser Zusammenhang findet leider in der Praxis oft wenig Beachtung und erklärt viele Fälle, die trotz korrekter Behandlung nicht besser werden.
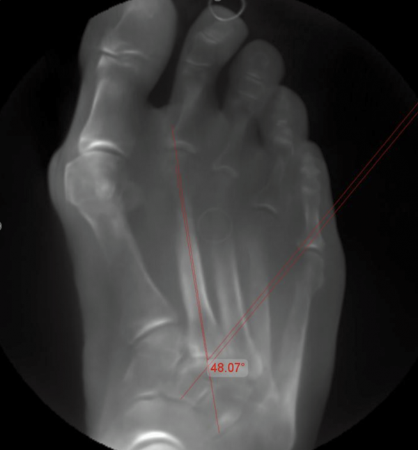
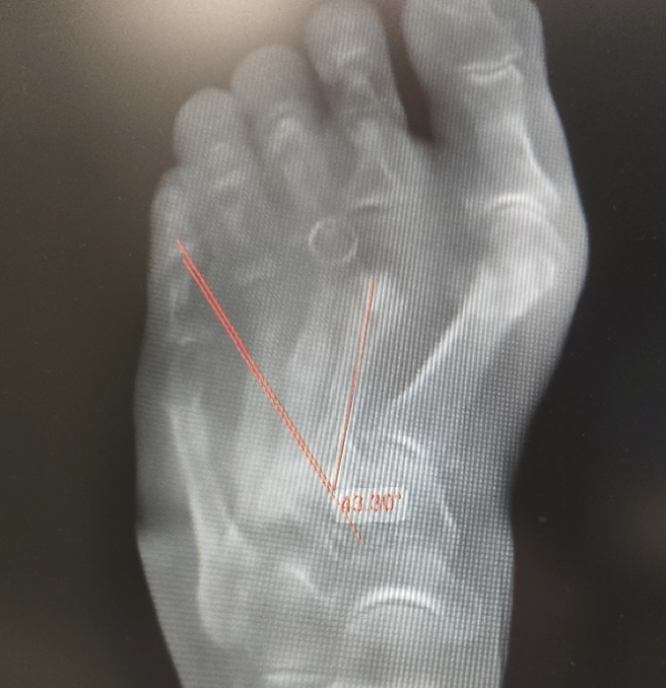
Wie wird ein Sichelfuß diagnostiziert? Der Engel-Winkel
Es gibt verschiedene radiologische Methoden, den Sichelfuß am Röntgenbild zu quantifizieren. Sie alle messen im Prinzip dasselbe: den Winkel zwischen Vorfuß und Rückfuß auf der Belastungsaufnahme im Stehen — also genau dort, wo die Fehlstellung klinisch relevant wird.
Leichte und mittelschwere Formen sind auch für den erfahrenen Untersucher in der klinischen Untersuchung kaum sicher zu erkennen — zu gut haben sich die meisten Betroffenen über Jahre mit ihrer Fehlstellung arrangiert. Erst die belastete Röntgenaufnahme im Stehen oder das DVT macht das Ausmaß der Fehlstellung zuverlässig sichtbar.
In unserer Praxis nutzen wir bevorzugt den Engel-Winkel — eine Methode, die 1983 von Engel, Erlick und Krems beschrieben wurde und sich seither in der klinischen Praxis bewährt hat [Engel et al., J Am Podiatry Assoc, 1983]. Der Engel-Winkel misst den Winkel zwischen der Längsachse des zweiten Mittelfußknochens und der Längsachse des zweiten Keilbeins auf der belasteten Röntgenaufnahme. Er ist schnell zu bestimmen, gut reproduzierbar und für die klinische Entscheidungsfindung ausreichend genau.
Als Normwert gilt ein Engel-Winkel von unter 25 Grad. Darüber liegt definitionsgemäß ein Sichelfuß vor — je größer der Winkel, desto ausgeprägter die Fehlstellung.
Wer also trotz intensiver Behandlung keine Besserung erlebt und sich fragt, ob der Sichelfuß als Ursache bisher übersehen wurde — eine belastete Röntgenaufnahme und die Bestimmung des Engel-Winkels liefern in einigen Fällen schnell eine klare Antwort. Jetzt Termin vereinbaren

Experten-Tipp: wenn die Längsachse des zweiten Keilbeins (os cuneiforme intermedius) lateral des vierten Mittelfußköpfchens verläuft, liegt fast immer ein erheblicher Sichelfuß vor.
Warum helfen Einlagen beim Sichelfuß oft nicht?
Einlagen gehören zu den häufigsten Therapieempfehlungen bei Fußbeschwerden — und bei vielen Fußproblemen sind sie auch wirklich hilfreich. Beim Senkfuß stützen sie das eingesunkene Längsgewölbe. Beim Spreizfuß entlasten sie den überlasteten Vorfuß und die oft krumme Großzehe. In beiden Fällen wirken sie nach demselben Prinzip: Sie stützen von unten gegen den Fuß und korrigieren so die Stellung.
Genau hier liegt die Grenze beim Sichelfuß.
Der Sichelfuß ist keine Frage des Gewölbes — aber sehr wohl eine Frage der Lastverteilung. Die eigentliche Ursache liegt tiefer: Die Knochen des Fußes stehen in einem falschen Winkel zueinander, und dieser Winkel ist durch ihre Form selbst vorgegeben. Eine Einlage, die von unten stützt, kann diesen Winkel nicht verändern. Sie kann Druckstellen entlasten, Schmerzen lindern und einzelne Symptome verbessern — aber sie erreicht die Ursache nicht.
Wer ausschließlich auf Einlagen setzt, wird deshalb in vielen Fällen enttäuscht sein. Und wer trotz gut angepasster Einlagen weiterhin Beschwerden hat, sollte diesen Umstand ernst nehmen — er ist oft ein erster Hinweis darauf, dass die eigentliche Ursache noch nicht gefunden wurde.
Schmerzen trotz Einlagen? Lassen Sie abklären, ob ein Sichelfuß dahintersteckt — sprechen Sie uns an oder vereinbaren Sie direkt einen Termin.
Sichelfuß und Hallux valgus — eine unterschätzte Verbindung
Der Hallux valgus, die „schiefe Großzehe“, gehört zu den häufigsten Fußproblemen — in der Fußchirurgie und in unserer Praxis. Was viele nicht wissen: Ein unerkannter Sichelfuß kann dazu beitragen, dass selbst eine nur gering ausgeprägte Hallux-valgus-Fehlstellung früher und stärker Beschwerden macht. Denn der Sichelfuß verändert die Geometrie des gesamten Vorfußes — und lässt die Großzehe schon bei vergleichsweise kleiner Abweichung so aussehen und so wirken wie ein „wirklich krummer Großzeh“.
Noch wichtiger ist eine andere Konsequenz: Wer sich einen Hallux valgus operieren lassen möchte, muss zunächst gemeinsam mit dem Operateur das genaue Ausmaß der Fehlstellung bestimmen — denn davon hängt die Wahl der richtigen Operationsmethode ab. Liegt gleichzeitig ein Sichelfuß vor, erscheint die Hallux-valgus-Fehlstellung auf den Röntgenbildern kleiner als sie tatsächlich ist. Die gewählte Methode passt dann nicht zum eigentlichen Ausmaß des Problems — und das Ergebnis enttäuscht, obwohl die Operation technisch korrekt durchgeführt wurde.
Die gute Nachricht: Wird der Sichelfuß rechtzeitig erkannt, lässt er sich bei einer Hallux-valgus-Operation häufig gleichzeitig mitbehandeln. Eine minimalinvasive Methode, die wir in unserer Praxis regelmäßig einsetzen, ist die DMMO — sie erlaubt es, die Sichelfußkomponente in demselben Eingriff zumindest deutlich zu verbessern und so das Gesamtergebnis der Hallux-valgus-Korrektur zu optimieren. Eine vollständige Korrektur des Sichelfußes ist damit zwar nicht möglich — aber eine relevante Verbesserung sehr wohl.
Für Patienten, bei denen eine Hallux-valgus-Korrektur nicht den erhofften Erfolg gebracht hat, lohnt es sich daher, die Frage zu stellen: Ist dabei ein Sichelfuß im Spiel?


Was hilft beim Sichelfuß wirklich?
Die ehrliche Antwort vorweg: Beim Sichelfuß gibt es keine universelle Lösung — und das ist ein wichtiger Unterschied zu vielen anderen Fußproblemen. Wer mit einem Senkfuß oder Spreizfuß in die Sprechstunde kommt, bekommt häufig Einlagen verschrieben und ist damit gut versorgt. Beim Sichelfuß ist das anders.
Das liegt daran, dass der Sichelfuß eine Fehlstellung der Knochenform ist, die sich beim Erwachsenen nicht mehr grundlegend verändern lässt. Weder Einlagen noch Physiotherapie können das korrigieren. Was sie können: Symptome lindern, Druck entlasten, einzelne Beschwerden verbessern. Das ist nicht nichts — aber es ist nicht dasselbe wie eine Ursachenbehandlung.
Schritt 1: Verstehen
Der wichtigste erste Schritt ist das Verstehen der eigenen Situation. Wer begreift, wie sein Fuß aufgebaut ist und warum bestimmte Beschwerden entstehen, kann aktiv mitwirken — bei der Wahl des richtigen Schuhwerks, bei der Einschätzung von Therapieangeboten, und bei der realistischen Erwartung an das, was möglich ist.
Schritt 2: Symptomorientierte Behandlung
Je nachdem, welche Beschwerden im Vordergrund stehen, gibt es unterschiedliche Ansätze:
- Vorfußschmerzen: Sehr weiche, gut dämpfende Laufschuhe können die Druckbelastung im Alltag deutlich reduzieren. Ein guter Anhaltspunkt sind Schuhe mit viel Dämpfung im Vorfußbereich.
- Achillessehnenbeschwerden: Zunächst gezielte konservative Therapie der Achillessehne — Physiotherapie, Belastungssteuerung, gegebenenfalls weitere Maßnahmen je nach Verlauf.
- Einlagen: Sie können einzelne Symptome lindern und Druckstellen entlasten — in diesem Rahmen sind sie sinnvoll. Die Fehlstellung selbst beeinflussen sie nicht.
Wann kommt eine Operation in Frage?
Eine vollständige operative Korrektur des Sichelfußes ist beim Erwachsenen möglich — aber die große Ausnahme. Der Eingriff ist aufwändig, mit relevanten Risiken verbunden, und wird nur bei sehr ausgeprägten Fehlstellungen und erheblichen Beschwerden in Betracht gezogen.
Häufiger ist eine operative Teilkorrektur im Rahmen anderer Eingriffe — etwa wenn gleichzeitig ein Hallux valgus operiert wird. Hier lässt sich die Sichelfußkomponente in manchen Fällen in demselben Eingriff zumindest deutlich verbessern, auch wenn eine vollständige Korrektur nicht das Ziel sein kann.
Bei Beschwerden an der Achillessehne, die auf konservative Maßnahmen nicht ansprechen, kommen operative Eingriffe an der Sehne selbst in Frage — ähnlich wie beim Haglund-Syndrom. Am Vorfuß sind es häufig Eingriffe an den Mittelfußknochen, die sowohl die Beschwerden als auch einen Teil der Sichelfußfehlstellung verbessern können.

Schmerzen trotz Einlagen? Achillessehnenschmerzen außen?
Manche Patienten kommen zu uns mit einer langen Vorgeschichte: Einlagen wurden angepasst, Physiotherapie wurde gemacht, vielleicht sogar eine Operation — aber die Beschwerden sind geblieben oder immer wieder zurückgekehrt. Oft steckt dahinter keine schlechte Behandlung, sondern eine Ursache, die bisher niemand auf dem Schirm hatte.
Zwei Konstellationen sollten dabei hellhörig machen:
Schmerzen trotz gut angepasster Einlagen — besonders wenn die Beschwerden am Fußaußenrand, an den mittleren Zehen oder im Bereich der Achillessehne liegen und sich trotz korrekter Versorgung nicht dauerhaft bessern.
Achillessehnenschmerzen, die vor allem oder ausschließlich auf der Außenseite der Sehne und des Fersenbeins lokalisiert sind — und die auf intensive Therapie nicht ansprechen.
In beiden Fällen lohnt es sich, die Frage zu stellen: Ist ein Sichelfuß im Spiel?
Eine belastete Röntgenaufnahme und die Bestimmung des Engel-Winkels liefern in einigen Fällen schnell eine klare Antwort — und manchmal den entscheidenden Hinweis, der eine jahrelange Beschwerdegeschichte plötzlich erklärbar macht.
Wir helfen Ihnen dabei, dieser Frage auf den Grund zu gehen. Jetzt Termin vereinbaren
Fazit
Der Sichelfuß ist keine Seltenheit — er wird nur selten erkannt. Wer jahrelang mit Beschwerden lebt, die sich trotz Einlagen, Physiotherapie oder sogar Operationen nicht dauerhaft bessern, sollte die Möglichkeit eines unerkannten Sichelfußes in Betracht ziehen. Die Diagnose ist einfacher als gedacht: eine belastete Röntgenaufnahme, der Engel-Winkel — und vor allem der Gedanke daran. Wenn wir mit dieser Seite dazu beitragen können, dass dieser Gedanke öfter gedacht wird, hat sie ihren Zweck bereits erfüllt.
FAQ – häufige Fragen zu Sichelfuß & pes adductus
Was ist ein Sichelfuß — und was hat das mit meinen Beschwerden zu tun?
Der Sichelfuß ist eine angeborene Fehlstellung, bei der Vorfuß und Rückfuß in einem falschen Winkel zueinander stehen. Der Fuß funktioniert dadurch nicht so, wie er sollte — Belastungen werden ungleichmäßig verteilt, Strukturen dauerhaft über- oder fehlbelastet. Das kann zu sehr unterschiedlichen Beschwerden führen: am Fuß selbst, aber auch am Knie und an der Hüfte. Weil der Sichelfuß beim Erwachsenen oft nicht erkannt wird, bleiben viele dieser Beschwerden lange ohne Erklärung.
Ich habe als Kind einen Sichelfuß gehabt — kann der im Erwachsenenalter noch Probleme machen?
Ja — und das ist einer der häufigsten Gründe, warum Erwachsene mit einem Sichelfuß lange beschwerdefrei bleiben und die Diagnose nicht weiter ernst nehmen. Viele leichte und mittelschwere Sichelfüße wurden im Kindesalter zwar erkannt, aber nicht behandelt, weil sie sich äußerlich kaum gezeigt haben. Der Körper hat sich damit arrangiert — aber die Fehlstellung ist geblieben. Im Erwachsenenalter, oft ab dem vierten Lebensjahrzehnt, können dann Beschwerden entstehen, die auf den ersten Blick nichts mit dem Fuß zu tun zu haben scheinen.
Mein Kind hat einen Sichelfuß — ist das erblich?
Eine eindeutige Erblichkeit ist wissenschaftlich nicht abschließend belegt, aber familiäre Häufungen sind gut dokumentiert: Eltern von Kindern mit Sichelfuß haben selbst überdurchschnittlich häufig einen — oft ohne es zu wissen. Wenn Ihr Kind die Diagnose bekommen hat, lohnt es sich, auch die eigenen Füße untersuchen zu lassen.
Warum schmerzt meine Achillessehne trotz intensiver Behandlung immer noch — vor allem außen?
Achillessehnenschmerzen, die auf der Außenseite der Sehne und des Fersenbeins lokalisiert sind und auf konsequente Therapie nicht ansprechen, sind ein typisches Muster beim Sichelfuß — genauer gesagt beim Fersen-Typ, bei dem das gesamte Bein nach außen rotiert und die Achillessehne dauerhaft ungleichmäßig belastet wird. Dieser Zusammenhang wird in der Praxis leider oft übersehen. Wer in dieser Situation steckt, sollte gezielt nach einem Sichelfuß suchen lassen — eine belastete Röntgenaufnahme und die Bestimmung des Engel-Winkels reichen meist als erster Schritt.
Ich knicke häufig um — kann das am Sichelfuß liegen?
Ja — häufiges Umknicken nach außen ist ein typisches Beschwerdebild beim Vorfuß-Typ des Sichelfußes. Weil der Vorfuß zu weit nach innen zeigt, wird das Sprunggelenk beim Abrollen immer wieder in eine instabile Position gebracht. Viele Betroffene trainieren jahrelang die Sprunggelenksstabilität — mit mäßigem Erfolg, weil die eigentliche Ursache nicht adressiert wird.
Was unterscheidet den Sichelfuß vom Senk- oder Spreizfuß?
Senkfuß und Spreizfuß sind Probleme des Gewölbes — der Fuß gibt nach, flacht ab, verliert seine Form in der Höhe. Einlagen können das gut korrigieren, weil sie von unten stützen und das Gewölbe wieder aufbauen. Der Sichelfuß ist etwas grundlegend anderes: Hier stehen die Knochen in einem falschen Winkel zueinander — eine Fehlstellung in der Querebene, die durch Stützen von unten nicht erreichbar ist. Das erklärt, warum Einlagen beim Sichelfuß zwar Symptome lindern, aber nicht die Ursache beheben können.
Wie wird ein Sichelfuß beim Erwachsenen festgestellt?
Die klinische Untersuchung allein reicht bei leichten und mittelschweren Ausprägungen meist nicht aus — zu gut haben sich die meisten Betroffenen über Jahre mit ihrer Fehlstellung arrangiert. Zuverlässig nachweisbar ist der Sichelfuß auf einer belasteten Röntgenaufnahme im Stehen oder im DVT. Wir nutzen dafür den Engel-Winkel: einen einfachen, schnell bestimmbaren Winkel zwischen zwei Knochen des Fußes. Ein Wert über 25 Grad bestätigt die Diagnose.
Ich habe Einlagen — warum helfen sie nicht richtig?
Einlagen wirken von unten nach oben — sie stützen, polstern, betten oder entlasten. Bei Fußproblemen, die das Gewölbe betreffen, funktioniert das sehr gut. Beim Sichelfuß liegt die Ursache aber nicht im Gewölbe, sondern im falschen Winkel der Knochen zueinander — und den kann eine Einlage nicht verändern. Sie kann einzelne Druckstellen entlasten und Schmerzen lindern, aber die Fehlstellung selbst bleibt. Wer trotz gut angepasster Einlagen keine dauerhafte Besserung erlebt, sollte das als Signal nehmen — und die Ursache genauer untersuchen lassen.
Kann man einen Sichelfuß operieren?
Ja — aber beim Erwachsenen ist eine vollständige operative Korrektur des Sichelfußes die große Ausnahme. Der Eingriff ist aufwändig und mit relevanten Risiken verbunden. Häufiger ist eine operative Teilkorrektur im Rahmen anderer Eingriffe, etwa bei einer Hallux-valgus-Operation. Am Vorfuß lässt sich die Sichelfußkomponente dabei oft in demselben Eingriff deutlich verbessern. Bei Achillessehnenbeschwerden, die auf konservative Therapie nicht ansprechen, kommen operative Eingriffe an der Sehne selbst in Frage — ähnlich wie beim Haglund-Syndrom.
Was kann ich selbst tun, wenn ich einen Sichelfuß habe?
Der wichtigste erste Schritt ist das Verstehen der eigenen Situation — denn nur wer begreift, wie seine Beschwerden entstehen, kann aktiv mitwirken. Im Alltag helfen vor allem gut dämpfende, weiche Schuhe mit viel Puffer im Vorfußbereich. Einlagen können ergänzend sinnvoll sein, sollten aber mit realistischen Erwartungen eingesetzt werden. Und wer trotz allem keine Besserung erlebt: Es lohnt sich, gezielt nach dem Sichelfuß als Ursache suchen zu lassen — denn er wird noch immer häufiger übersehen als erkannt.
Literatur
- Freedman JD, Eidelman M, Apt E, Kotlarsky P. Review of Current Concepts in Metatarsus Adductus. Pediatr Ann. 2024 Apr;53(4):e152–e156. PMID: 38574072
- Engel E, Erlick N, Krems I. A simplified metatarsus adductus angle. J Am Podiatry Assoc. 1983 Dec;73(12):620–8. PMID: 6655195
- Ferrari J, Malone-Lee J. A radiographic study of the relationship between metatarsus adductus and hallux valgus. J Foot Ankle Surg. 2003;42(1):9–14. PMID: 12567361
Inhalt medizinisch kontrolliert von:
Dr. med. Stefan Böhr, Facharzt für Orthopädie & Unfallchirurgie, Fußchirurg (DAF & GFFC)
Ärztlicher Leiter & Inhaber, ORTHO | PEDE – Zentrum für Fuß & Sprunggelenk Berlin-Zehlendorf
Zuletzt aktualisiert: April 2026