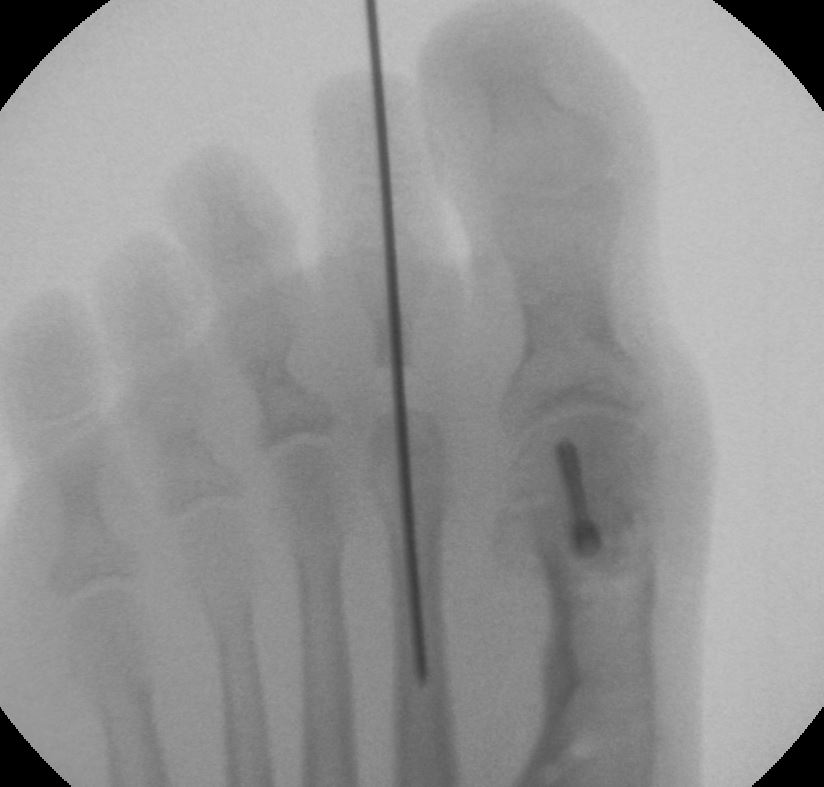
Röntgebild aus dem OP von Dr. Böhr in der Klinik Sanssouci: Stainsby OP am zweiten Zeh bei kontrakter Krallenzehe und Hallux Valgus
Röntgebild aus dem OP von Dr Böhr in der Klinik Sanssouci Stainsby OP am zweiten Zeh bei kontrakter Krallenzehe und Hallux Valgus
